近日,井冈山大学附属医院神经外科在沈建忠主任带领下,王继斌副主任团队成功实施全内镜下脑深部肿瘤切除术,为脑肿瘤患者带来更微创的治疗选择,术后患者恢复良好。

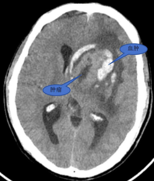
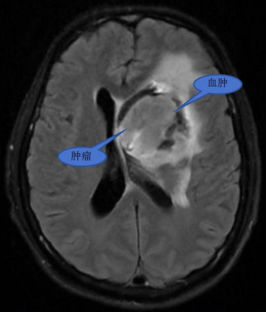
患者为 58 岁男性,因突发右侧肢体乏力 2 小时入院。急诊 CT 检查结合病史与影像学分析,诊断为脑肿瘤卒中,肿瘤大小达 4.3×3.6×2.9cm。入院后,王继斌副主任组织神经内科、肿瘤科、麻醉科、康复医学科等多学科专家,对病情及治疗方案进行深入评估讨论,获得患者及家属充分理解与支持。
术前影像


手术由王继斌副主任、罗绳祝主治医师、杨志医师,联合麻醉手术科团队共同完成。术中,王继斌副主任利用神经内镜的抵近观察优势在内镜下沿肿瘤边缘逐步、仔细的分离脑肿瘤,最终将肿瘤全切,同时清除颅内血肿。术后患者麻醉清醒、言语正常、四肢活动正常。
术后影像


术后病例标本检查提示:弥漫大B细胞淋巴瘤(非生发中心型)。

相关知识
神经内镜作为神经外科手术的重要工具,工作通道小,手术切口与副损伤小,能清晰观察深部脑组织细微结构,消除视野盲区,让手术操作更精细、微创,已成为现代微侵袭神经外科主要发展方向之一。
除脑深部肿瘤外,神经内镜还可用于脑内出血、脑室内出血、颅内蛛网膜囊肿、脑积水、鞍区肿瘤、视神经管狭窄、颅内肿瘤、脑室内肿瘤、脊柱脊髓疾病等疾病的微创治疗。
此次手术的成功开展,标志着井冈山大学附属医院神经外科在脑深部肿瘤“微创”手术领域迈出重要一步,内镜技术实现新跨越,将为更多脑肿瘤患者带来福音。(文图:罗绳祝 审核:沈建忠)